
São cilindros metálicos (titânio), instalados nos ossos maxilares com a finalidade de substituir raízes de dentes ausentes. Além de resolver efetivamente a questão estética, o implante funciona como dentes naturais, tanto na visibilidade como no aspecto mastigatório.
Como será feito o tratamento? O protocolo de um sistema de implante envolve duas etapas distintas:
A primeira é a cirúrgica, onde é colocado o implante no osso.
A segunda é a etapa protética, momento em que é confeccionada uma prótese sobre o implante dentário. A salgueirocenter tem parcerias com profissionais especialistas em Implante Dentário com mais de 18 anos de experiência na área visando maior comodidade para o paciente.

Com a danificação das dentes ou até mesmo por motivos de perda dos mesmos, a prótese fixa aparece como boa opção para recuperação do sorriso! Ela tem o papel de modificar o sorriso do paciente e melhorar sua oclusão e mastigação, e, portanto, também a digestão. A prótese fixa também possui maior durabilidade. As vantagens das próteses fixas são várias. Tendo a opção de serem colocadas sobre o próprio dente ou sobre o implante, utilizando ponte ou coroas unitárias. Temos uma equipe de profissionais especialistas na área de prótese coordenada por Dr. Leandro Parente, profissional com 18 anos de formado atuando quase que esclusivamente com reabilitação , mostrando experiência e segurança no que faz.

O que são? As lentes de contato dental são assim chamadas devido a sua fina espessura e são confeccionadas em cerâmica.
Para que servem? Podem modificar todo sorriso, deixando–o mais estético e bonito, corrigindo dentes tortos, manchados e com alteração de forma, normalmente sem precisar desgastar os dentes sadios . O Dr. Leandro Parente salienta que a lente de contato pode ser cimentadas sobre os dentes, podendo substituir até mesmo o clareamento dental , já que é possível definir a cor previamente. Quando tem que fazer algum desgaste dentário esse procedimento passa a ser chamado de faceta de porcelana!

As facetas de resina funcionam de forma a recobrir os dentes, permitindo alterações de cor, formato, tamanho alinhamento e o brilho dentário. Utilizando-se da resina composta, o procedimento é feito diretamente na boca do paciente com o potencial de trazer uma excelente naturalidade ao sorriso. As facetas podem alterar completamente os aspectos que podem incomodar os pacientes, transmitindo aspectos harmoniosos e estéticos. A Salgueiro Center tem duas super profissionais habilitadas em facetas de resina! Dra Mariana Sá e Drª. Gabriela Vasconcelos! Ambas tem vasta experiência na área com vários casos realizados! Dr Leandro parente atesta é super recomenda ambas as profissionais! Não perca tempo marque sua avaliação e transforme seu sorriso!!

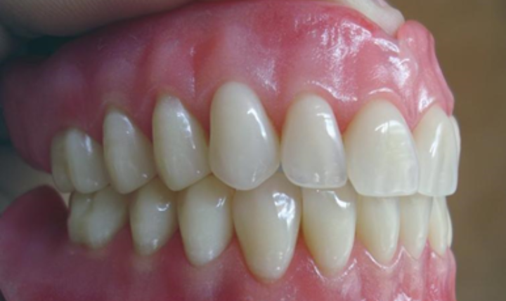
Próteses totais, popularmente conhecidas como dentaduras, são uma boa alternativa para quem perdeu todos os dentes. Quando seguidas todas as etapas de confecção e feitos os ajustes e dadas as devidas orientações para o uso contínuo, o paciente tem um excelente resultado! Atualmente elas oferecem uma aparência mais natural e maior conforto quando comparadas a aquelas de alguns anos atrás. No caso de próteses superiores que usam base acrílica da cor da mucosa bucal para apoio sobre sua gengiva. A base da prótese superior cobre todo o palato (céu da boca), enquanto que a prótese inferior é confeccionada na forma de uma ferradura, a fim de permitir espaço para a língua poder se mover.Todo trabalho de Prótese Dentária só pode ser realizado por um Cirurgião Dentista e preferencialmente especialista. Dr. Leandro Parente é especialista em Prótese Dentária reconhecido pelo Conselho Federal de Odontologia desde 2009, com ampla experiência na área e mais de 18 anos de formado!

O clareamento dental visa a recuperação da cor original dos dentes, perdida em algum momento durante a vida em decorrência de vários fatores. Sendo também para promover um branqueamento dos dentes originalmente mais escurecidos.
A utilização de agentes clareadores nos dentes já ultrapassa um século, e o com o desenvolvimento de novos materiais, tem se mostrado um meio cada vez mais eficaz e seguro de se obter uma estética dental satisfatória.
Como será feito o tratamento? Existem basicamente dois tipos de clareamento dental, o Clareamento Caseiro: a maior parte do tratamento é realizada pelo próprio paciente, o qual utiliza o agente químico dentro de uma moldeira adaptável aos dentes. Estes materiais são fornecidos pelo Cirurgião-Dentista, que irá supervisionar o tratamento através de visitas periódicas do paciente ao consultório.
Clareamento realizado no consultório: o Cirurgião-Dentista irá aplicar sobre os dentes um agente químico oxidante bem mais potente. Durante a aplicação, a gengiva, lábios e bochechas são protegidos de forma que o clareador não provoque queimaduras. Em apenas uma hora de aplicação do produto já é possível notar uma diferença na coloração dos dentes. Normalmente são feitas de duas a três sessões e, às vezes, associa-se a técnica de consultório ao clareamento caseiro para um branqueamento mais profundo.
A Salgueirocenter tem uma equipe de profissionais para indicar o clareamento dental que melhor se adequa ao seu perfil.

O que é? Inflação causada por bactérias que afeta os tecidos que rodeiam os dentes; caracteriza-se pela formação de um espaço indesejável entre a gengiva e o dente, chamado de bolsa periodontal, a qual favorece o acúmulo de resíduos alimentares e bactérias. A Doença Periodontal é a principal causadora da perda de dentes em adultos. A sua prevenção pode ser feita unicamente removendo a placa bacteriana através de limpeza bucal doméstica com fio dental e escova, mais limpezas periódicas feitas pelo dentista. O recomendado é que faça procedimentos de limpeza e aplicação de flúor a cada seis meses para preservação de uma boa saúde bucal. O sinal mais característico da Doença Periodontal é o sangramento, mas devemos estar atentos também aos outros sintomas, tais como: a posição dos dentes, mobilidade, retracções gengivais, presença de abscesso alimento, inchaço etc. Nossa clínica conta com Dra. Cristhiane Maia, especialista em periodontia, uma profissional qualificada para tratar esse tipo de doença.

O tratamento endodôntico (canal) da raiz dentária é um procedimento para reparar e salvar dentes, muito danificados ou infectados. O procedimento envolve a remoção da área danificada do dente (a polpa), limpeza e desinfecção e, em seguida, o preenchimento e selamento. Com o avanço tecnológico, como a utilização de instrumentos rotatórios e localizadores foraminais eletrônicos, hoje já se torna possível o tratamento em apenas uma única sessão, tornando um tratamento mais rápido, seguro e confortável. A Salgueirocenter é a única clínica do sertão central que dispõe de microscopia eletrônica, o que possibilita o tratamento de canal com o que tem de mais moderno na endodontia, tornando-se assim referência na área! A Salgueirocenter conta com Dra Shane Mazoli, Dra Gabriela Vasconcelos e Drª Mariana Sá , profissionais qualificados e com ampla experiência nessa área.

Dentes tortos ou dentes que não se encaixam corretamente são difíceis de serem mantidos limpos, podendo ser perdidos precocemente, devido à deterioração e à doença periodontal. Também causam estresse adicional aos músculos da mastigação que pode levar a dores de cabeça, síndrome da ATM e dores na região do pescoço, dos ombros e das costas. Os dentes tortos ou mal posicionados também prejudicam a sua aparência. O tratamento ortodôntico torna a boca mais saudável, proporciona uma aparência mais agradável e dentes com possibilidade de durar a vida toda. A salgueirocenter tem uma equipe de profissionais qualificados nessa área! Nomes como Dr. Maycon de Lima, Dr. Gabriel Pires e Drª. Samara Ribeiro ! Então não perca tempo! Venha e traga seu filho para corrigir o seu sorriso

Dentes inclusos são dentes que, apesar de formados, não fizeram o irrompimento na época normal. Normalmente são os terceiros molares, popularmente chamados de “dentes do siso”. Em boa parte dos pacientes, os dentes inclusos são assintomáticos. Em outros casos, porém, podem estar relacionados a dores na região do dente incluso, cefaleia (dor de cabeça), inflamação na gengiva que está em cima do dente, dificuldade de abrir a boca e edema. Dr. Luiz Eneas explica que, quanto mais tempo passa, maiores as chances de complicações. Dentes vizinhos podem ser comprometidos, o paciente pode apresentar cistos, lesões cariosas, dores, tumores e até infecção sistêmica, que compromete a saúde de outros órgãos. Coordenador por Dr. Leandro parente, a Salgueiro Center tem vários profissionais na área de cirurgia ! Nomes como Dr. luiz Eneas , Gabriel Pires e Dr. Romero estão na salgueirocenter oferecendo segurança e conforto ao paciente!

A Odontopediatria é uma área da Odontologia voltada aos cuidados com a saúde bucal de bebês, crianças e até adolescentes.
Ela não trata apenas problemas dentários, mas também educa os pequenos sobre a importância da higiene oral, ao estabelecer hábitos saudáveis desde cedo.
Os avanços científicos da atualidade têm conseguido reverter a ideia de que dentes decíduos (de leite) não têm importância, visto que já se tem consciência que também possuem inervação, causam dor e imensos prejuízos à saúde bucal e geral das crianças
A odontopediatria também abrange atendimento a pacientes com necessidades especiais(PNE) promovendo a conquista de uma qualidade de vida melhor, através de promoção e prevenção da saúde bucal.
Na Salgueiro Center contamos com a Dra Fernanda Rocha há mais de 5 anos se dedicando as nossas crianças, com um atendimento mágico, com amor, responsabilidade, respeito e sem traumas, além de um ambiente acolhedor e preparado para recebê-los,tornando as visitas ao dentista a melhor experiência possível.

É uma excelente alternativa para quem deseja realizar melhorias na face. Os procedimentos buscam equilibrar os traços faciais promovendo a harmonia da face, prevenindo os sinais de envelhecimento, melhorando a autoestima e realçando a beleza única de cada pessoa. A salgueirocenter tem profissionais habilitados em harmonização facial prontos para fazer uma consulta personalizada e oferecer o que tem de melhor e mais moderno no campo da estética facial!
Principais procedimentos da Harmonização Orofacial
• Aplicação de Botox
• Preenchimento facial
• Preenchimento labial
• Bichectomia
• Lipoplastia de papada
© 2024 Direitos reservados a Salgueiro Center